HKUST-Beijing Tiantan Hospital Researchers Discover a New Cause for the Cerebral Cavernous Malformation
Researchers from the Hong Kong University of Science and Technology (HKUST) and Beijing Tiantan Hospital have recently uncovered a new gene mutation responsible for the non-familial patients of cerebral cavernous malformation (CCM) - a brain vascular disorder which inflicted about 10~30 million people in the world.
While the mutation of three genes: namely CCM1, CCM2, and CCM3, were known to be a cause of CCM – they mostly targeted patients who has family history in this disorder – which only account for about 20 per cent of the total inflicted population. The cause for the remaining 80 per cent non-familial cases, however, were not known.
Now, using next-generation sequencing and computational approach, a research team led by Prof. WANG Jiguang, Assistant Professor from HKUST’s Division of Life Science and Department of Chemical and Biological Engineering, in collaboration with Prof. CAO Yong from the Beijing Tiantan Hospital, analyzed the genomic data of 113 CCM patients and identified another mutation called MAP3K3 c.1323C>G, which is found to be responsible for almost all the tested cases who developed popcorn-like lesions in their brain arteries - the most common one among the four types of CCM lesions1(type II CCM).
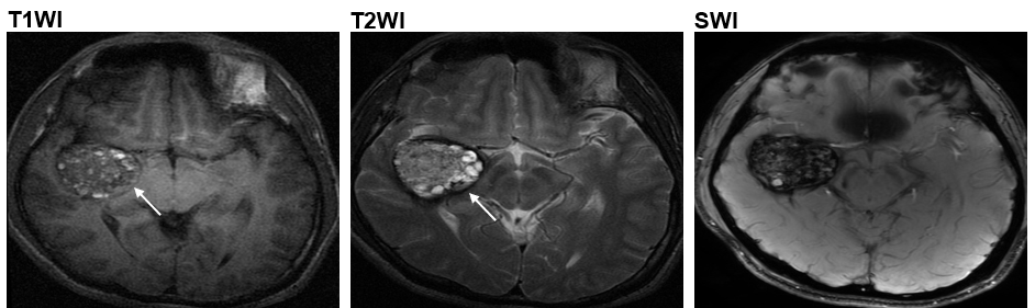
At present, magnetic resonance imaging (MRI) is a commonly used non-intrusive means that doctors can base upon for diagnosis and treatment. However, the MRI images can only tell the size and type of the lesions, but not the gene responsible for the problem – which can only be ascertained by surgery and laboratory tests. Now, the HKUST research team designed a computational method that could help assess the probability of connection between the lesion shown in the MRI image to the genetic mutation MAP3K3 c.1323C>G. So CCM patients with this gene mutation may be able to receive more targeted treatment without having to undergo surgery – which could bear serious risks including cerebral hemorrhage or new focal neurological deficits.
Prof. Wang from HKUST said, “Our research opens a new direction to the genetic landscape of CCM and uncovers clues to the correlation between MAP3K3 c.1323C>G gene mutation and type II CCM. The design of the computational method, or decision-tree model takes us a step closer to non-invasive diagnosis of CCM cause, and we hope the discovery could help pave way for candidate drug target and therapy development, bringing benefits to patients in the near future.”
The findings were recently published in The American Journal of Human Genetics.
1Type II CCM was said to be the most common among the four types of CCM: https://www.ncbi.nlm.nih.gov/pmc/articles/PMC6924279/
About The Hong Kong University of Science and Technology
The Hong Kong University of Science and Technology (HKUST) (https://hkust.edu.hk/) is a world-class research intensive university that focuses on science, technology and business as well as humanities and social science. HKUST offers an international campus, and a holistic and interdisciplinary pedagogy to nurture well-rounded graduates with global vision, a strong entrepreneurial spirit and innovative thinking. Over 80% of our research work were rated “Internationally excellent” or “world leading” in the Research Assessment Exercise 2020 of Hong Kong’s University Grants Committee. We were the world’s best young university in Times Higher Education’s Young University Rankings 2020, and our graduates were ranked 26th worldwide and among the best from universities from Asia in Global University Employability Survey 2020.
For media enquiries, please contact:
Anita Lam
Tel: 2358 6313
Email: anitalam@ust.hk
Lindy Wong
Tel: 2358 6306 / 5190 7882
Email: lindywong@ust.hk
About The Hong Kong University of Science and Technology
The Hong Kong University of Science and Technology (HKUST) (https://hkust.edu.hk/) is a world-class research intensive university that focuses on science, technology and business as well as humanities and social science. HKUST offers an international campus, and a holistic and interdisciplinary pedagogy to nurture well-rounded graduates with global vision, a strong entrepreneurial spirit and innovative thinking. Over 80% of our research work were rated “Internationally excellent” or “world leading” in the Research Assessment Exercise 2020 of Hong Kong’s University Grants Committee. We were the world’s best young university in Times Higher Education’s Young University Rankings 2020, and our graduates were ranked 26th worldwide and among the best from universities from Asia in Global University Employability Survey 2020.

